上顎前突
上顎前突(上の歯が出ている)症例
上の歯が下の歯より出ている噛み合わせの症状を、【上顎前突(出っ歯)】と言います。幼児期の指しゃぶりが原因になることもあります。
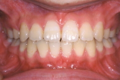
治療開始前



![]()
治療途中経過



![]()
治療終了時



|
■主訴/出っ歯 ■診断名あるいは主な症状/上顎前突(出っ歯) ■年齢/15歳6か月 ■治療に用いた主な装置/マルチブラケット装置、ヘッドギア ■抜歯部位/上顎・左右4番|下顎・左右4番 ■治療期間/3年・通院回数36回(月に一度)、保定2年・通院回数8回(3ヶ月に一度) ■治療費概算(自費)/約80万円(税込) ※ 矯正歯科治療は公的健康保険の対象外の自由(自費)診療となります。 ※ 治療費用は改定しています。現在の治療費は矯正費用ページをご参照ください。 |
■リスク・副作用
|
※一般的なリスク・副作用については、こちらのページにも詳しく掲載していますので、ご覧ください。





